
Ecografías 24h
Atención 24 horas en ecografías de emergencia
Ecografías
Obstétrica 4D, genética, morfológica
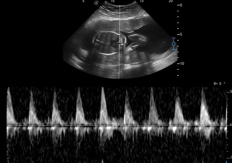
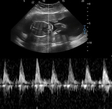
Doppler arterial y Doppler venoso
Tiroides, mamas, rodilla, cadera y más...
Ecografía abdominal de emergencia
Ecografía renal de emergencia
Terapia Láser
Magnetoterapia
Terapia combinada
Emergencias
Terapia física y rehabilitación
Conócenos en CORA Salud
En Los Olivos, ofrecemos diagnóstico por imágenes y terápia física con atención personalizada y tecnología de alta precisión.
Pacientes satisfechos
24/7 - emergencias atendidas en noviembre 2025
Nuestros servicios
Diagnóstico por imágenes y terapia física en Los Olivos.




Contamos con médicos expertos y especialistas en Ecografías 4D, Doppler y musculo-esqueléticas. También contamos con médico ecografista las 24 horas para atender cualquier ecografía de emergencia.
Terapia física especializada para una recuperación efectiva y personalizada. Utilizamos elementos tecnologico y amplio conocimiento práctico en laserterapia y magnetoterapia.
Imágenes
Tecnología avanzada para diagnósticos precisos y confiables.






